加入收藏 您好,维百奥生物为您提供专业、专心的产品和服务! | MALL-EN | 中文商城
购物指南 支付方式 配送方式 企业QQ:1877748443 一级特黄AAA大片在线观看 电子邮箱:[email protected]
咨询请直拨:136-9140-9741 / International: +86-13691409741
全国免费热线:400-001-2615
 我的询价单 会员中心
产品名称 重组Anti-Doublecortin抗体[EPR19997] (ab207175) 现货特卖
货号: ab207175 规格: 100 ul;1ml;40 ul
品牌: 热销产品 价格:
产品分类: 特价奥特莱斯专区 研究领域:
CAS编号: 分子量:
分子式: 别名:
储存条件: 运输条件:
货期: 应用:
说明书: 备注:
产品描述


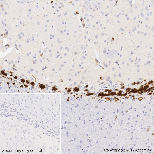
ab207175.jpg

维百奥生物现货库存,特价销售重组Anti-Doublecortin抗体[EPR19997]!

| 产品信息

品名:重组Anti-Doublecortin抗体[EPR19997]

品牌:Abcam 

货号:ab283319

规格:100 μl;1ml;40 μl


产品属性

描述兔单克隆抗体[EPR19997] to Doublecortin
应用IHC-P, WB, IHC-Fr, ICC/IF
种属反应性Mouse, Rat, Human
形式Liquid
纯度Protein A purified
克隆编号EPR19997
免疫原Recombinant fragment. This information is proprietary to Abcam and/or its suppliers.
存放说明Shipped at 4°C. Store at +4°C short term (1-2 weeks). Upon delivery aliquot. Store at -20°C long term. Avoid freeze / thaw cycle.


耙标信息

Seems to be required for initial steps of neuronal dispersion and cortex lamination during cerebral cortex development. May act by competing with the putative neuronal protein kinase DCAMKL1 in binding to a target protein. May in that way participate in a signaling pathway that is crucial for neuronal interaction before and during migration, possibly as part of a calcium ion-dependent signal transduction pathway. May be part with LIS-1 of an overlapping, but distinct, signaling pathways that promote neuronal migration.







分享到:
批量询价
相关产品
选择 产品名称 货号 规格 品牌 分类 研究领域 目录价 操作
Sigma C6905 β-酪蛋白 来源于牛奶(β-Casein from bovine milk) | 9000-71-9 C6905 250mg;1g 询价
Sigma T0625 牛磺酸(Taurine) | 107-35-7 T0625 10mg;10g;25g;100g;500g;1kg 询价
Sigma 57310 吲哚丁酸(Indole-3-butyric acid) | 133-32-4 57310 5g;25g;100g 询价
Sigma I5386 吲哚丁酸(Indole-3-butyric acid) | 133-32-4 I5386 1g;5g;25g 询价
Sigma M2069 D-(+)-甘露糖(D-(+)-Mannose) | 3458-28-4 M2069 25g;100g;100g;500g 询价
Sigma M6020 D-(+)-甘露糖(D-(+)-Mannose) | 3458-28-4 M6020 25g;100g;500g 询价