加入收藏 您好,维百奥生物为您提供专业、专心的产品和服务! | MALL-EN | 中文商城
购物指南 支付方式 配送方式 企业QQ:1877748443 一级特黄AAA大片在线观看 电子邮箱:[email protected]
咨询请直拨:136-9140-9741 / International: +86-13691409741
全国免费热线:400-001-2615
 我的询价单 会员中心
产品名称 Agrisera热门植物研究用试剂
货号: 规格:
品牌: 热销产品 价格:
产品分类: 热销产品 研究领域:
CAS编号: 分子量:
分子式: 别名:
储存条件: 运输条件:
货期: 应用:
说明书: 备注:
产品描述

67091369ebb4c.jpg

Anti-ATG8 | Autophagy-related protein

AS14 2769

Product Info

Immunogen: Fragment of recombinant ATG8 from Chlamydomonas reinhardtii, UniProt: A8JB85

Host: Rabbit

Clonality: Polyclonal

Purity: Serum

Format: Lyophilized

Quantity: 50 µl

Reconstitution: For reconstitution add 50 µl of sterile water

Storage: Store lyophilized/reconstituted at -20°C; once reconstituted make aliquots to avoid repeated freeze-thaw cycles. 

Please remember to spin the tubes briefly prior to opening them to avoid any losses that might occur from material adhering 

to the cap or sides of the tube.

Tested applications: Immunolocalization (IL), Western blot (WB)

Recommended dilution: 1 : 1000 (IL), 1 : 1000-1 : 2000 (WB)

Expected | apparent MW:15.2 | 15 kDa

PDFGenerator.pdf



670913b524ee0.jpg

Anti-H+ATPase | Plasma membrane H+ATPase (rabbit antibody)

AS07 260

Product Info

Immunogen:  KLH-conjugated synthetic peptide, derived from available di and monocot, fern, mosses and algal plasma

 membraneATPase sequences including Arabidopsis thaliana ATPase 1 (UniProt: P20649, TAIR: At2g18960) and ATPase 2

 (UniProt: P19456 , TAIR: At4g30190), 3 (UniProt: P20431, TAIR: At5g57350), 4 (UniProt: Q9SU58, TAIR: At3g47950), 

6 (UniProt: Q9SH76,TAIR: At2g07560), 7 (UniProt: Q9LY32, TAIR: At3g60330), 8 (UniProt: Q9M2A0, TAIR: At3g42640), 

9 (UniProt: Q42556, TAIR: At1g80660), 11 (UniProt: Q9LV11, TAIR: At5g62670) of Arabidopsis thaliana and hydrogen 

ATPase of Chlamydomonas reinhardtii (Q9FNS3)

Host: Rabbit

Clonality: Polyclonal

Purity: Immunogen affinity purified serum in PBS pH 7.4.

Format: Lyophilized

Quantity: 50 µg

Reconstitution: For reconstitution add 50 µl of sterile water

Storage: Store lyophilized/reconstituted at -20°C; once reconstituted make aliquots to avoid repeated freeze-thaw cycles. 

Please remember to spin the tubes briefly prior to opening them to avoid any losses that might occur from material adhering

 to the cap or sides of the tube. Do not Store this antibody in 4°C.

Tested applications: Immunofluorescence (IF), Immunolocalization (IL), Western blot (WB)

Recommended dilution: 1 : 600-1 : 1000 (IF), 1 : 100 (IL), 1 : 1000-1 : 10 000 (WB)

Expected | apparent MW:

90-95 kDa (Arabidopsis thaliana, depending upon an isoform)

PDFGenerator (1).pdf





6709140577e48.jpg

Anti-PsaD | PSI-D subunit of photosystem I

AS09 461

Product Info

Immunogen: KLH-conjugated synthetic peptide 100% conserved in all known plant PsaD sequences including Arabidopsis

 thaliana PSI-D1 UniProt:Q9S7H1 , TAIR: At4g02770 and PSI-D2 UniProt: Q9SA56 , TAIR At1g03130 as well as Physcomitrella patens.

 The conservation in Chlamydomonas reinhardtii is high (14 of 16 aminoacids are identical).

Host: Rabbit

Clonality: Polyclonal

Purity: Serum

Format: Lyophilized

Quantity: 50 µl

Reconstitution: For reconstitution add 50 µl of sterile water

Storage: Store lyophilized/reconstituted at -20°C; once reconstituted make aliquots to avoid repeated freeze-thaw cycles.

 Please remember to spin the tubes briefly prior to opening them to avoid any losses that might occur from material adhering

 to the cap or sides of the tube.

Tested applications: Clear-native PAGE (CN-PAGE), Immunoprecipitation (IP), Western blot (WB)

Recommended dilution: 1: 10 000 (CN-PAGE), 1 : 1000 - 1: 5 000 (WB)

Expected | apparent MW:

17.9 | 20 (for Arabidopsis thaliana)

PDFGenerator.pdf




6709145446c98.jpg

Anti-PsbA | D1 protein of PSII, C-terminal (rabbit antibody) (thylakoid membrane marker)

AS05 084

Product Info

Immunogen:  KLH-conjugated synthetic peptide derived from available plant, algal and cyanobacterial PsbA sequences, 

including Arabidopsis thaliana UniProt: A4QJR4, TAIR: AtCg00020 , Oryza sativa P0C434, Populus alba Q14FH6, Physcomitrella 

patens Q6YXN7, Chlamydomonas reinhardtii P07753, Synechocystis sp. P14660 and many others

Host: Rabbit

Clonality: Polyclonal

Purity: Serum

Format: Lyophilized

Quantity: 50 µl

Reconstitution: For reconstitution add 50 µl of sterile water

Storage: Store lyophilized/reconstituted at -20°C; once reconstituted make aliquots to avoid repeated freeze-thaw cycles. 

Please remember to spin the tubes briefly prior to opening them to avoid any losses that might occur from material adhering

 to the cap or sides of the tube.

Tested applications: Immunofluorescence (IF), ImmunoGold (IG), Western blot (WB)

Recommended dilution: 1: 500 (IF),  1: 200 (IG),  1 : 10 000 (WB)

Expected | apparent MW:

38 | 28-30 kDa

PDFGenerator (1).pdf




670914918a48f.jpg

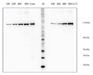
Anti-PEPC | Phosphoenolpyruvate carboxylase

AS09 458

Product Info

Immunogen:  KLH-conjugated synthetic peptide well conserved PEPC1 and sequences from different plant species including

 Arabidopsis thaliana Q9MAH0, At1g53310 (PEPC 1), Q84VW9, At3g14940 (PEPC 3). The peptide chosen to elicit this antibody 

is also perfectly conserved in bacterial type of this enzyme NP_177043.2 (PEPC 4).

For Zea mays, the peptide is converved in PEP1 and PEP4 isoforms.

Host: Rabbit

Clonality: Polyclonal

Purity: Immunogen affinity purified serum in PBS pH 7.4.

Format: Lyophilized

Quantity: 50 µg

Reconstitution: For reconstitution add 50 µl of sterile water

Storage: Store lyophilized/reconstituted at -20°C; once reconstituted make aliquots to avoid repeated freeze-thaw cycles. 

Please remember to spin the tubes briefly prior to opening them to avoid any losses that might occur from material adhering

 to the cap or sides of the tube. Please do not re-use this primary antibody solution. In case of cyanobacterial samples there

 will be no signal in your second incubation.

Tested applications: Immunolocalization (IL), Western blot (WB)

Recommended dilution: 1 : 500 (IL), 1: 1000 - : 10 000 (WB)

Expected | apparent MW:110 | 105 kDa

PDFGenerator.pdf




670914c73cff4.jpg

Anti-PsaA | PSI-A core protein of photosystem I

AS06 172

Product Info

Immunogen: N-terminal part of recombinant PsaA protein from Chlamydomonas reinhardtii P12154

Host: Rabbit

Clonality: Polyclonal

Purity: Serum

Format: Lyophilized

Quantity: 50 µl

Reconstitution: For reconstitution add 50 µl of sterile water

Storage: Store lyophilized/reconstituted at -20°C; once reconstituted make aliquots to avoid repeated freeze-thaw cycles.

 Please remember to spin the tubes briefly prior to opening them to avoid any losses that might occur from material adhering

 to the cap or sides of the tube.

Tested applications: Blue Native PAGE (BN-PAGE), Immunogold (IG), Western blot (WB)

Recommended dilution: 1 : 20 (IG), 1 : 1000-1 : 5000 (WB)

Expected | apparent MW:

82 | 55-60 kDa

PDFGenerator (1).pdf



AS08 300.jpg

1 | PEB (4x) | protein extraction buffer

AS08 300 

Product Info

Quantity: 5 x 2 ml (4x stock) allows up to 75 isolations of plant material (using 500 µl 1x PEB for 100 mg fresh weight) or 190

 isolations of algal material (using 200 µl 1x PEB for cell amounts corresponding to 4-10 µg total chlorophyll)

Storage: Stable at RT for at least 1 month; short-term storage (6 monthss) at 4°C and long term storage (1 year or more) 

at -20°C.

Tested applications: Protein extraction

PDFGenerator.pdf


6709152be24aa.jpg

AgriseraECL SuperBright

AS16 ECL-S 

Product Info

Quantity: 2 x 5 ml, two component ready to use solutions, enough for 5 midi blots (6,8 x 8,1 cm) 2 x 50 ml, two component 

ready to use solutions, enough for 50 midi blots (6.8 x 8.1 cm), which is 2754 cm2

Storage:

Store at 2°C to 8°C.Mixed working reagent is stable for several days at room temperature or at 4°C.Exceptional lot to lot 

consistency.

Shelf life is 24 months when stored in the dark at 2 °C to 8 °C. Keep container tightly closed. Store away from heat or light.

PDFGenerator (1).pdf


6709156810c8d.jpg

PEPC | Phosphoenolpyruvate carboxylase positive control/quantitation standard

AS09 458S

Product Info

Format: Lyophilized in glycerol.

Quantity: 100 µl

Reconstitution: For reconstitution add 60 µl of steril water, Please notice that this product contains 10% glycerol and might

 appear as liquid but is provided lyophilized

Storage: Store lyophilized/reconstituted at -20°C; once reconstituted make aliquots to avoid repeated freeze-thaw cycles.

 Please remember to spin the tubes briefly prior to opening them to avoid any losses that might occur from material adhering

 to the cap or sides of the tube.

Tested applications: Western blot (WB)

Recommended dilution:

Standard curve: 3 loads are recommended (0.5, 2 and 4 μl).

For most applications a sample load of 0.2 μg of chlorophyll/well will give a RbcL signal in this range.

Positive control: a 2 μl load per well is optimal for most chemiluminescent detection systems. Higher standard concentration 

needs to be used to allow detection by Coomasie stains. Such gels with higher standard concentration can not be used for

 quantitation using chemiluminescence.

This standard is stabilized and ready and does not require heating before loading on the gel.

Please note that this product contains 10% glycerol and might appear as liquid but is provided lyophilized. Allow the product

 several minutes to solubilize after adding water. Mix thoroughly but gently Take extra care to mix thoroughly before each use, 

as the proteins tend to settle with the more dense layer after freezing.

Expected | apparent MW:

110 | 105 kDa

分享到:
批量询价
相关产品
选择 产品名称 货号 规格 品牌 分类 研究领域 目录价 操作
重组人LCK蛋白 | Human LCK Protein, 1-509aa, His-tag NBL-230148 100ug; 500ug; 1mg 询价
重组人ALOX5蛋白 | Human ALOX5 Protein, 1-674aa, His-tag NBL-230147 100ug; 500ug; 1mg 询价
重组人CXCL12蛋白 | Recombinant Human CXCL12/SDF1 Protein NBL-230146 100ug; 500ug; 1mg 询价
重组人Netrin receptor DCC蛋白 | Recombinant Human Netrin receptor DCC, 32-1097aa NBL-230144/NBL-230145 100ug; 500ug; 1mg; Bulk 询价
重组人ARID1A蛋白 | Recombinant Human ARID1A, 2047-2285aa, His-tag, GST-tag NBL-230141 100ug; 500ug; 1mg; Bulk 询价
重组人FSH蛋白 | Recombinant Human FSH, 25-1116aa, His-tag, GST-tag NBL-230140 100ug; 500ug; 1mg; Bulk 询价