加入收藏 您好,维百奥生物为您提供专业、专心的产品和服务! | MALL-EN | 中文商城
购物指南 支付方式 配送方式 企业QQ:1877748443 一级特黄AAA大片在线观看 电子邮箱:[email protected]
咨询请直拨:136-9140-9741 / International: +86-13691409741
全国免费热线:400-001-2615
 我的询价单 会员中心
产品名称 minerva-biolabs - 10-0200 - Mynox
货号: 10-0200 规格:
品牌: 热销产品 价格:
产品分类: 热销产品 研究领域:
CAS编号: 分子量:
分子式: 别名:
储存条件: 运输条件:
货期: 应用:
说明书: 备注:
产品描述

产品名称:Mynox®

货号:10-0200

品牌:minerva-biolabs


Mynox® is a mycoplasma removal agent for treatment of contaminated cell cultures. Mycoplasma elimination is achieved in only 6 - 8 days (plus 4 passages for DNA washout). Mynox® is an antibiotic-free formulation for mycoplasma eradication from cell cultures. Its activity is based on a biophysical mechanism, which therefore does not enable the development of resistant strains.


Recommended Use

Mynox® is intended for research use only. Not applicable for clinical treatment. Protocols for the direct treatment of viruses are described in the product manual.


Content

Mynox® is a sterile, ready-to-use solution, aliquoted per tube for single use, 200 µl per vial.


Package Sizes

1 application can be used to permanently eliminate mycoplasma from one cell culture.

Cat. No. 10-0200

2 applications

Cat. No. 10-0500

5 applications

Cat. No. 10-1000

10 applications


Result Evaluation

Successful elimination of mycoplasma should be verified with a suitable mycoplasma detection system, e.g. Minerva Biolabs’s Venor®GeM Mycoplasma PCR Detection Kits.


Required Consumables

Tissue culture petri dish (60 mm Ø)

Standard cell culture plasticware

Required Lab Devices

Standard cell culture equipment (incubator, centrifuge, pipettes, etc.)


Shelf Life and Storage

Store the components at +2 °C to +8 °C until the expiry date indicated on the label.

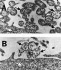
micrograph_mynox_small.jpg

Fig. Electron micrograph showing the effects of Mynox® when applied to contaminated cell cultures. (A) Mycoplasma contaminated cell culture before treatment. (B) With one application of Mynox® membranes of all mycoplasma are destroyed while the tissue cell membrane is unaffected. Black arrows indicate mycoplasmas, white arrows indicate parts of a tissue cell.



分享到:
批量询价
相关产品
选择 产品名称 货号 规格 品牌 分类 研究领域 目录价 操作
重组人Netrin receptor DCC蛋白 | Recombinant Human Netrin receptor DCC, 32-1097aa NBL-230144/NBL-230145 100ug; 500ug; 1mg; Bulk 询价
重组人ARID1A蛋白 | Recombinant Human ARID1A, 2047-2285aa, His-tag, GST-tag NBL-230141 100ug; 500ug; 1mg; Bulk 询价
重组人FSH蛋白 | Recombinant Human FSH, 25-1116aa, His-tag, GST-tag NBL-230140 100ug; 500ug; 1mg; Bulk 询价
重组小鼠MINCLE蛋白 | Recombinant Mouse MINCLE, 65-214aa, His-tag NBL-230139 100ug; 500ug; 1mg; Bulk 询价
重组小鼠Dectin-2蛋白 | Recombinant Mouse Dectin-2, 44-209aa, His-tag NBL-230138 100ug; 500ug; 1mg; Bulk 询价
重组小鼠CD206/MRC1蛋白 | Recombinant Mouse CD206/MRC1, 20-1388aa, His-tag NBL-230137 100ug; 500ug; 1mg; Bulk 询价