加入收藏 您好,维百奥生物为您提供专业、专心的产品和服务! | MALL-EN | 中文商城
购物指南 支付方式 配送方式 企业QQ:1877748443 一级特黄AAA大片在线观看 电子邮箱:[email protected]
咨询请直拨:136-9140-9741 / International: +86-13691409741
全国免费热线:400-001-2615
 我的询价单 会员中心
产品名称 BioGenex Anti-CDX-2(现货热销中)
货号: AM392GP 规格:
品牌: 热销产品 价格:
产品分类: 热销产品 研究领域:
CAS编号: 分子量:
分子式: 别名:
储存条件: 运输条件:
货期: 应用:
说明书: 备注:
产品描述


AM392GP-1-600x360.jpg


维百奥生物现货销售BioGenex Anti-CDX-2

▍产品信息

品名:Anti-CDX-2

货号: AM392GP

品牌: Biogenex

规格货号
0.5 mL – Manual – ConcentrateMU392A-5UC
1 mL – Manual – ConcentrateMU392A-UC
6 mL – Manual – RTUAM392-5M
50 Tests – Automation – XmatrxAX392-50D
100 Tests – Automation – i6000AM392-10M
160 Tests – Automation – XmatrxAX392-YCD
5 slides – XmatrxFB-392M
5 slides – ManualFG-392M


▍产品描述

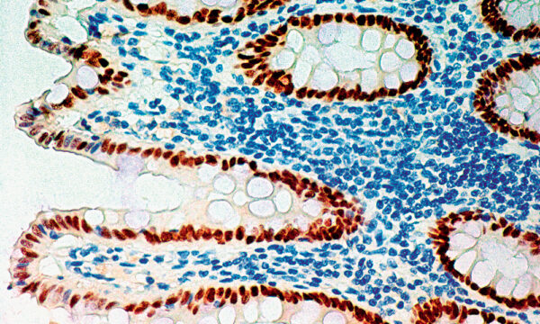
CDX2 is an intestine-specific transcription factor, it is a member of the caudal-related homeobox family that regulates both proliferation and differentiation in intestinal epithelial cells. It plays an important role in triggering cells towards the phenotype of differentiated villus enterocytes as well as in the maintenance of the phenotype. Clone CDX2-88 reacts with a conserved epitope of the 40kD CDX2 protein localized in the nucleus. It exclusively marks nuclei of colonic epithelial cells and colorectal cancers on formalin-fixed, paraffin-embedded tissue sections


Intended UseIVD
Antibody TypeMonoclonal
CloneCDX2-88
SourceMouse
Tissue Type/Cancer TypeColon


932-392M-EN.pdf

931-AB000.pdf



分享到:
批量询价
相关产品
选择 产品名称 货号 规格 品牌 分类 研究领域 目录价 操作
重组人Netrin receptor DCC蛋白 | Recombinant Human Netrin receptor DCC, 32-1097aa NBL-230144/NBL-230145 100ug; 500ug; 1mg; Bulk 询价
重组人ARID1A蛋白 | Recombinant Human ARID1A, 2047-2285aa, His-tag, GST-tag NBL-230141 100ug; 500ug; 1mg; Bulk 询价
重组人FSH蛋白 | Recombinant Human FSH, 25-1116aa, His-tag, GST-tag NBL-230140 100ug; 500ug; 1mg; Bulk 询价
重组小鼠MINCLE蛋白 | Recombinant Mouse MINCLE, 65-214aa, His-tag NBL-230139 100ug; 500ug; 1mg; Bulk 询价
重组小鼠Dectin-2蛋白 | Recombinant Mouse Dectin-2, 44-209aa, His-tag NBL-230138 100ug; 500ug; 1mg; Bulk 询价
重组小鼠CD206/MRC1蛋白 | Recombinant Mouse CD206/MRC1, 20-1388aa, His-tag NBL-230137 100ug; 500ug; 1mg; Bulk 询价